



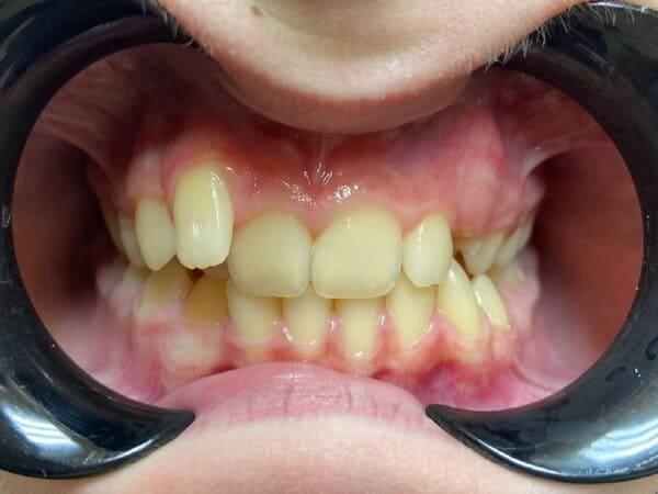
Підлітковий вік — це вирішальний час для остаточного формування прикусу та естетики обличчя. Це ідеальний період для ортодонтичних маніпуляцій, адже саме зараз можна досягти максимального результату з мінімальними зусиллями.
Чому варто почати ортодонтичне лікування в підлітковому віці?
Кісткова тканина в підлітковому віці ще є податливою, що дозволяє досягти чудових результатів значно швидше та з меншим дискомфортом, ніж у дорослих. Нерідко результати, досягнуті в цьому віці, неможливо отримати в дорослому без складних хірургічних втручань.
Наш ортодонт спеціалізується на роботі з підлітками та володіє різними техніками та інструментами для корекції прикусу:
ми використовуємо різні види брекетів — металеві, керамічні, самолігуючі. Це дозволяє індивідуально підібрати систему, яка буде найефективнішою та найкомфортнішою для вашої дитини.
для тих, хто шукає більш естетичне та комфортне рішення, ми пропонуємо лікування за допомогою прозорих елайнерів. Вони дозволяють гармонізувати прикус, залишаючись майже непомітними.
Наш Центр Дитячої Стоматології на вулиці Липківського в місті Києві присвячує особливу увагу підлітковій ортодонтії, щоб забезпечити найкращий результат та уникнути необхідності складного лікування в майбутньому.
Запрошуємо вас на консультацію, щоб дізнатися, як ми можемо зробити посмішку вашої дитини ідеальною!