




Лікування кореневих каналів (лікування пульпіту і періодонтиту) — одна з найскладніших маніпуляцій у дитячій стоматології. У нашому Центрі Дитячої Стоматології в Києві ми приділяємо особливу увагу цій проблемі, оскільки правильний підхід може зберегти зуб і його функції.
Пульпа (або, як іноді кажуть “нерв”) молочного зуба — це унікальна жива тканина з високим потенціалом до відновлення. Якщо лікар володіє сучасними методиками, він може не видаляти її, а зберегти. Це дуже важливо, адже збережена пульпа забезпечує кращий прогноз для зуба. Якщо ж запалення необоротне, ми проводимо ефективне та безпечне лікування кореневих каналів.
Усі наші фахівці проходять спеціалізоване навчання, щоб максимально оптимізувати цей складний процес. Головний лікар клініки, Олег Ковнацький, регулярно проводить тренінги для стоматологів з усієї України, що підтверджує наш високий рівень експертизи.
Процедура проводиться під місцевим знеболенням або із застосуванням закису азоту кисневої седації, а за потреби, в умовах глибокої седації чи наркозу. Ми робимо все, щоб забезпечити максимальний комфорт для дитини.
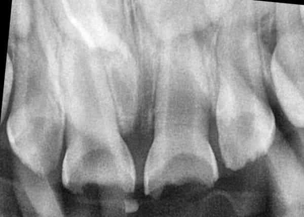
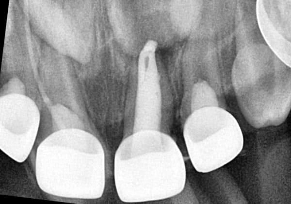
Система кореневих каналів молочних зубів часто складніша, ніж у постійних. Тому ми використовуємо ізоляцію робочого поля за допомогою кофердаму та спеціальне обладнання, щоб гарантувати високу якість лікування.
Важливо розуміти: це не швидка процедура. Вона вимагає ретельного очищення, промивання та пломбування каналів спеціальними матеріалами. Поспіх у цій справі може призвести до серйозних ускладнень у майбутньому.
Якщо вашу дитину турбує зуб — не гайте часу. Звертайтесь до нашого Центру Дитячої Стоматології на Липківського, і ми надамо допомогу в тому обсязі, який є необхідний для збереження здоров'я вашої дитини.