




У нашій дитячій стоматології ми часто чуємо від батьків, що стандартні дитячі коронки – це щось екстремальне. Насправді, це не вирок, а сучасний і надійний метод відновлення сильно зруйнованих молочних зубів. Вони дають зубу шанс достояти до своєї зміни, виконуючи всі свої функції: без болю, дискомфорту та ускладнень.
Головний лікар нашого центру, Ковнацький Олег Леонідович, був одним із перших в Україні, хто почав активно застосовувати стандартні естетичні коронки та впроваджувати практику використання металевих коронок у дитячій стоматології.
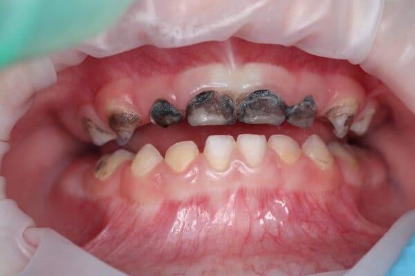
Іноді, після видалення каріозних тканин, молочний зуб має занадто мало здорових тканин, щоб утримати звичайну пломбу. У таких випадках пломба може:
оскільки немає достатньої площі для надійної фіксації.
під час жувального навантаження, що призведе до серйозних ускладнень.
Саме в таких ситуаціях на допомогу приходять стандартні коронки.
Стандартні коронки бувають:
Основна перевага коронки в тому, що вона повністю охоплює зуб, захищаючи його від розколювання. На відміну від дорослої стоматології, для встановлення дитячої коронки не потрібно робити відбитки чи відвідувати клініку кілька разів. Лікар обробляє пошкоджений зуб, підбирає коронку потрібного розміру та фіксує її на спеціальний цемент. Сусідні зуби при цьому не обточуються!
Хоча сьогодні інформація про стандартні дитячі коронки в Києві стає все більш доступною, лікарі нашої клініки мають один із найбільших досвідів в Україні в роботі з ними. Наш головний лікар, Олег Ковнацький, регулярно проводить навчання для інших стоматологів, присвячені саме цій темі.
Запрошуємо вас до нашого Центру Дитячої Стоматології на консультацію, де наші спеціалісти зможуть підібрати оптимальний спосіб відновлення зубів вашої дитини та, за наявності показань, встановити стандартні коронки.