



Робота з несформованими постійними зубами — найскладніша маніпуляція в дитячій стоматології. Ці зуби мають особливу будову, що ускладнює їх очищення та пломбування. У нашому Центрі Дитячої Стоматології в Києві ми володіємо передовими методиками, які дозволяють врятувати навіть найскладніші зуби.
Пульпа (нерв) постійного зуба має величезний потенціал до відновлення. Якщо це можливо, ми зберігаємо її, адже саме вона відповідає за ріст і повноцінне формування кореня. Зуб зі сформованим коренем значно міцніший і витриваліший.
Ця процедура вимагає скрупульозності та ювелірної точності. Наші лікарі працюють зі збільшенням (бінокулярами та мікроскопом), що дозволяє їм чітко бачити стан пульпи та ухвалювати правильні рішення.
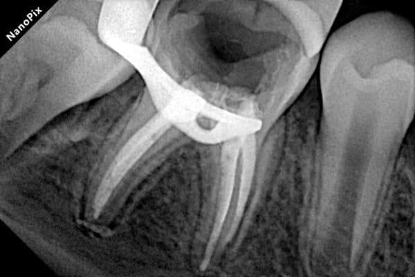
Якщо ж пульпа не підлягає збереженню, ми використовуємо спеціалізовані методики та матеріали, які дозволяють закрити верхівки кореня перед пломбуванням. Це забезпечує надійний результат і запобігає ускладненням.
Експертиза та досвід
Наші фахівці мають унікальний досвід у діагностиці та лікуванні несформованих постійних зубів. Вони точно знають, коли пульпу ще можна зберегти, а коли її необхідно видалити.
Не ризикуйте здоров'ям зубів вашої дитини! Якщо ви помітили ураження постійних зубів, негайно звертайтеся до нашого Центру Дитячої Стоматології на Липківського. Ми зробимо все, щоб зберегти зуби вашої дитини здоровими та міцними на стільки, на скільки це можливо.